很多醫師看到殘根,大概第一個想到的是拔掉植牙,第二個想到的是能否拔掉後同時植牙,最後才會想到拔掉做牙橋。這裏可以看到的思路:殘根,拔掉….然後。有沒有可能留下殘根呢?
這裡先說殘根的簡單定義:只要是牙齒跟牙肉齊平(高個0.5mm也算),甚至更低,都是殘根,越低越慘😭,越沒有機會留下。
接下來我們來討論殘根留下的基本需求
1.移除蛀牙或軟爛的牙齒結構後至少還有10-12mm
2.低於牙肉1.5-1mm就是極限
3.大臼齒在不能在治療流程(前)中牙根分叉處受影響
4.也要考慮一下美觀
5.沒有根尖病灶,或是能經過治療後消除
6.牙周問題必須控制,牙齒動搖度不能過高
滿足這些條件以後,我們才能來考慮保留殘根
初級的殘根保留方法是:牙冠增長手術
簡單來說就是削除殘根周圍齒槽骨與打薄牙肉,造成被動式的牙根露出,然後搭配打牙釘後再做牙套,這個方法的缺點是需要手術,而且前後牙多少也需要削除一點,而且美觀會受一點影響(修越多越明顯),修完後有時會有牙齒動搖度變大的影響。
另一種方法是:Forced eruption:就是以矯正方式強迫牙根挺出,在不是需要挺出太多的狀況下,只需拉出牙根後搭配修牙手法順便修一下牙根,就能直接打牙釘做牙,缺點是需要局部矯正治療,2-3個月跑不掉。而且矯正不一定是直直往上拉,有時會偏一點…..。
進階的方法則是:矯正搭配牙冠增長手術:這種的就有機會拉出牙肉下1-1.5mm甚至是2mm的殘根,因為矯正移動的比較多,齒槽骨與牙肉會跟著一起長,所以還需要搭配手術削除。缺點是:花這麼多時間心力保留一個殘根,能再用多久也不知道,花費的時間與金錢也接近植牙時間,我個人不是很推薦..。
目前如果是在大臼齒的殘根,有一些醫師會做一種叫endo crown 的牙套,簡單來說就是類似把一部分牙釘與牙套合為一體,再直接用樹脂黏著劑粘合,這也是個不錯的方法,但是假牙能再使用多久就很難說,這種只靠黏著的牙套很吃防濕與黏著技術…。
這裏分享一個以矯正方式拯救殘根的案例
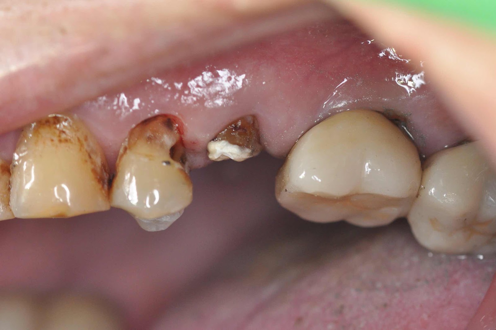
病人舊的假牙連同牙釘脫落(臨床非常常見),清除軟爛牙齒結構後,牙齒結構所剩無幾,搭配矯正後,打入纖維釘柱,再做vertical preparation,可以看出新假牙還能抓住一些牙齒結構。
留牙,在不久後,會變成牙醫師的(大正浪漫)
順便分享
